Transforme seu sorriso com ortodontia de excelência!
Na Moya Ortodontia, o Dr. João Carlos Moya oferece tratamentos modernos de ortodontia e ortopedia facial, incluindo o revolucionário Invisalign. Tecnologia, precisão e cuidado para o seu novo sorriso.
Tratamentos personalizados e eficazes — cada sorriso recebe um plano exclusivo para alcançar os melhores resultados.
Invisalign Doctor credenciado — confiança e segurança com um profissional certificado para transformar o seu sorriso.
Resultados naturais com acompanhamento próximo — um cuidado contínuo para garantir um sorriso harmônico e saudável.
O que te impede de sorrir com confiança?
Muitos pacientes adiam o tratamento ortodôntico por medo, insegurança ou falta de informação. Mas, na Moya Ortodontia, entendemos suas preocupações:
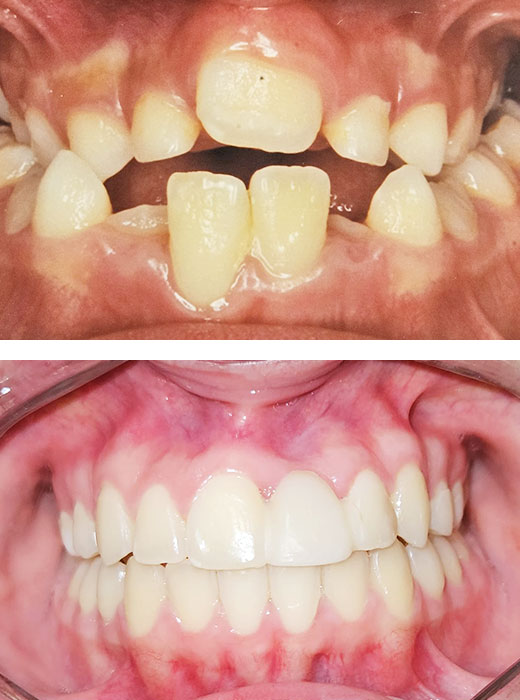
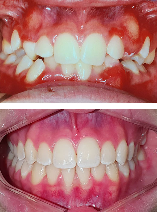
Sorrisos alinhados. Autoestima renovada.
Nossos tratamentos combinam tecnologia, precisão e acompanhamento personalizado para que cada fase seja confortável, rápida e eficaz.
Tratamentos
Oferecemos soluções personalizadas para cada tipo de necessidade:
Aparelho auto ligado – indicado para correções mais complexas
Invisalign – alinhadores transparentes de última geração
Aparelho estético – opção mais discreta com brackets transparentes
Ortodontia Infantil – tratamento preventivo para crianças e adolescentes
Planejamento digital do sorriso – previsibilidade e resultados mais rápidos
iTero Scanner escaneia as arcadas dentárias e simula resultados dos tratamentos





Conheça a Moya Ortodontia
A Moya Ortodontia é referência em tratamentos ortodônticos em Brasília. O Dr. João Carlos de Assis Moya é especialista em ortodontia e ortopedia facial, com ampla experiência e certificação como Invisalign Doctor.
Nosso compromisso é oferecer um atendimento humanizado, com tecnologia de ponta e resultados que transformam vidas.
O tratamento ortodôntico vai muito além da estética. Ele é fundamental pra sua saúde bucal, pro seu bem-estar e até pra sua qualidade de vida.
Dentes tortos, desalinhados ou problemas de mordida podem causar:
X Dores de cabeça e na mandíbula
X Desgaste precoce dos dentes
X Dificuldade na mastigação e digestão
X Problemas respiratórios
X Baixa autoestima
Por outro lado, um sorriso alinhado traz benefícios que você leva pra vida toda:
1 – Melhora da função mastigatória
2 – Mais saúde pros seus dentes e gengivas
3 – Melhora da respiração e da fala
4 – E claro… autoestima lá em cima!
Se você sente algum desconforto ou não está satisfeito com o seu sorriso, é um sinal de que o tratamento ortodôntico pode sim ser pra você.
Quer saber mais sobre como funciona e qual a melhor opção pro seu caso?
Me chama no WhatsApp! Vou adorar te explicar tudo..
“Não adie o cuidado com o seu sorriso — o tempo não para, e os problemas também não!”
Você já pensou quantas vezes deixou seu sorriso para depois?
Muita gente adia o tratamento ortodôntico por achar que “não é o momento” ou que “não é tão grave assim”.
‘… Mas a verdade é que problemas como dentes desalinhados, mordida errada ou apinhamento só tendem a piorar com o tempo’
Quanto mais você espera, maiores podem ser os danos:
– Desgaste dos dentes
– Retração gengival
– Dificuldades na mastigação
– Perda óssea
E até perda dentária em casos mais avançados.
O tratamento ortodôntico é muito mais do que estética. Ele cuida da função, da saúde bucal e da sua qualidade de vida a longo prazo.
Se você sente que algo não está certo com o seu
sorriso, esse é o momento. Priorize você , sua saude e sua autoestima.
O Dr. João Moya é especialista em Ortodontia, com ampla experiência no cuidado e alinhamento dos dentes.
Ao longo dos anos, já acompanhou inúmeros pacientes em todas as fases do tratamento ortodôntico, sempre com foco em resultados funcionais e estéticos.
Você terá a tranquilidade de estar sendo tratado por um profissional altamente qualificado e atualizado nas técnicas mais modernas da Ortodontia.
Mais do que estética, o tratamento impacta diretamente na autoestima, confiança e qualidade de vida. Investir em você é investir no seu bem-estar diário e no futuro da sua saúde oral.
O medo é mais comum do que se imagina. Aqui, cada etapa é explicada com clareza, e usamos técnicas modernas que tornam o procedimento mais tranquilo e confortável. Você nunca estará sozinho nesse processo.
O tempo depende do tipo de tratamento escolhido. Alguns resultados podem ser alcançados em poucas consultas, enquanto outros exigem um acompanhamento maior. No início, você já terá um plano personalizado com prazos claros.
Seu tempo é valioso. Com Invisalign, você pode ter o sorriso que sempre quis sem perder tempo. Menos consultas, mais praticidade, e um tratamento discreto e moderno.
Muitos pacientes vêm de outras cidades. Por isso, organizamos as consultas de forma a otimizar seu tempo, evitando deslocamentos desnecessários e garantindo que cada visita seja realmente produtiva.
O investimento varia de acordo com as necessidades de cada paciente.
Durante a avaliação, você terá um orçamento transparente, sem surpresas.
Horário de atendimento:
Segunda à Sexta: 8h – 18h